Dental Cosmetics

A smile is the prettiest thing you can wear

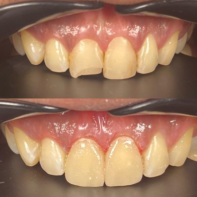
Enhance your smile with Alora Dental Clinic’s cosmetic services, combining expert care with treatments like veneers, crowns, and whitening for confidence in every smile.

dental cosmetics model alora dental clinic

Sculpted to perfection.

Detailed.

Precision in every procedure ensures your smile reflects your personality and desires, down to the finest detail.

Lasting.

Durable and high-quality materials for a smile that's not only beautiful today but for years to come.

Natural.

Enhancements designed to complement your inherent features, giving you a confident, naturally attractive smile.

Comfort.

Experience a relaxed, pain-free journey to your perfect smile, with patient comfort as our top priority.

Dental Cosmetics Services

Veneers in Alora Dental Clinic

Veneers are thin, custom-made shells that are made to cover the front of your teeth.

dental cosmetics at alora dental clinic

We also offer teeth whitening procedures that are meant to visual appearance.

Diastema Treatment in Alora Dental Clinic

Diastema is a term to describe a case where there’s a space between two teeth.

What Our Clients Say?

related Posts

Curious to learn more about dental cosmetics? Check out our featured blogs regarding this topic at Alora Dental Clinic!

Meet Your Dentist...

Step into Alora Dental Clinic and let us introduce you to our passionate and dedicated dentist, Dr. Angelica Eden Astillero. She’s the type of person who lights up a room with her warm and approachable demeanor. And that’s just the start of what makes her an exceptional dentist.

Dr. Astillero graduated from the University of the East, where she developed a love for dentistry and helping others. Her commitment to continuing education and the latest dental techniques allows her to provide top-notch care to patients of all ages. But what truly sets her apart is her ability to connect with her patients and put them at ease.

Owner of Alora Dental Clinic
FAQ

Frequently Asked Questions

Here you will find answers to the most frequently asked question. If you don’t find what you’re looking for, feel free to contact us directly. We are always happy to assist you.

Dental cosmetics refers to dental treatments that enhance the appearance of a person’s teeth, gums, and smile. These treatments are not necessarily performed for dental health reasons but rather to improve the aesthetics of the mouth and overall appearance.

At Alora Dental Clinic, we offer a range of dental cosmetic procedures including dental veneers, teeth cleaning, diastema closure, and botox for smile design. Our experienced team of dental professionals can help determine the best treatment for each individual patient.

Cosmetic dentistry focuses on improving the appearance of a person’s teeth and smile while restorative dentistry aims to repair or restore damaged or missing teeth. Restorative dentistry is often necessary for dental health reasons while cosmetic dentistry is generally elective.

Cosmetic dentistry can improve a person’s self-confidence and self-esteem by giving them a beautiful and healthy-looking smile. It can also correct dental imperfections such as crooked, stained, or chipped teeth, and improve dental function, speech, and overall oral health.

Cosmetic dentistry can contribute to overall dental health by improving dental function and hygiene. Many cosmetic procedures, such as dental veneers, can also protect teeth from further damage and decay. However, it is important to note that cosmetic dentistry should not be a substitute for proper oral hygiene and regular dental check-ups.

Yes, it is important to continue to brush and floss veneers as you would with natural teeth to prevent the buildup of plaque and bacteria. However, abrasive toothpaste and hard-bristled brushes should be avoided to prevent damage to the veneers.

A local dentist can offer a range of cosmetic treatments depending on their area of expertise and available technology. These may include teeth whitening, dental bonding, dental veneers, and orthodontic treatment.

Teeth whitening is one of the most popular cosmetic dental procedures in the Philippines. This non-invasive treatment can effectively brighten teeth and improve the overall appearance of a person’s smile.

Cosmetic dental procedures can significantly improve the appearance of your teeth and smile, which can boost your self-confidence and self-esteem. Many patients report feeling more comfortable in social situations and more confident in their personal and professional lives after cosmetic treatment.

The cost of dental cosmetic procedures in Quezon City varies depending on the type of treatment and the complexity of the case. However, Alora Dental Clinic offers competitive pricing to make cosmetic dentistry accessible and affordable for our patients.

We get it, consultation fees add up. Get Yours for ₱0!

Save ₱500 instantly—get your consultation fee waived when you proceed with the treatment the same day as your consultation. Don’t let fees hold you back from a healthier smile!